Nos últimos anos, tem havido um aumento significativo no uso de lentes de contato dental como uma opção popular para aprimorar a aparência do sorriso. Segundo uma matéria publicada pelo portal Saúde Online mostra que houve um aumento na procura por lentes de contato dental em mais de 300% de 2014 até os dias atuais.
Essa busca crescente pela aplicação de lentes de contato dental pode ser atribuída a uma série de fatores, incluindo avanços tecnológicos, resultados significativos em menor tempo, busca por uma melhoria estética etc.
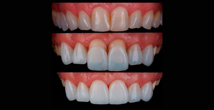
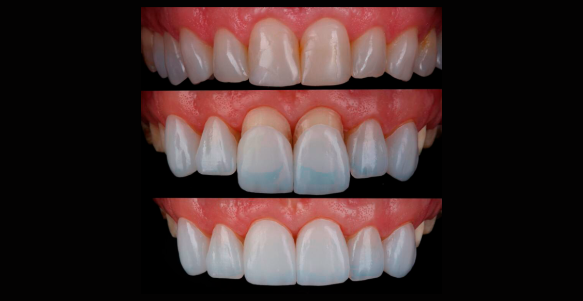
As lentes de contato dental são uma fina camada de porcelana ou resina colocada sobre os dentes naturais, proporcionando uma aparência estética mais harmônica e simétrica. O tratamento é menos invasivo e mais eficiente, reduzindo o tempo necessário para obter o resultado final.
“A aplicação da lente de contato dental pode mudar completamente o sorriso e a qualidade de vida do paciente. Além de alterar a cor dos dentes, a lente de contato dental também pode corrigir imperfeições como dentes tortos, trincas e espaçamentos, interferindo diretamente na autoestima da pessoa”, comenta Rodrigo Cotta CEO da Atende Já, Clínica Odontológica em Santa Luzia – MG.
Além disso, o aumento da exposição às mídias sociais e à cultura da imagem tem desempenhado um papel importante no aumento da popularidade das lentes de contato dental. Uma matéria publicada pela R7 mostra como a lente de contato tem virado moda entre os famosos. São inúmeros artistas aderindo ao tratamento para atingir um sorriso atraente e confiante.
Angélica Bandeira CEO da ABC, agência de marketing digital em BH, comenta que pelo fato dos famosos estarem aderindo ao uso de lentes de contato dental, a busca pelo tratamento tem sido cada vez maior por parte da população que os seguem e admiram.
Nota-se que a colocação das lentes de contato dental pode ganhar destaque, pois o seu uso vai além da estética bucal. A colocação das lentes dentais pode corrigir imperfeições nos dentes, e isso auxilia na busca de um sorriso mais atraente.














