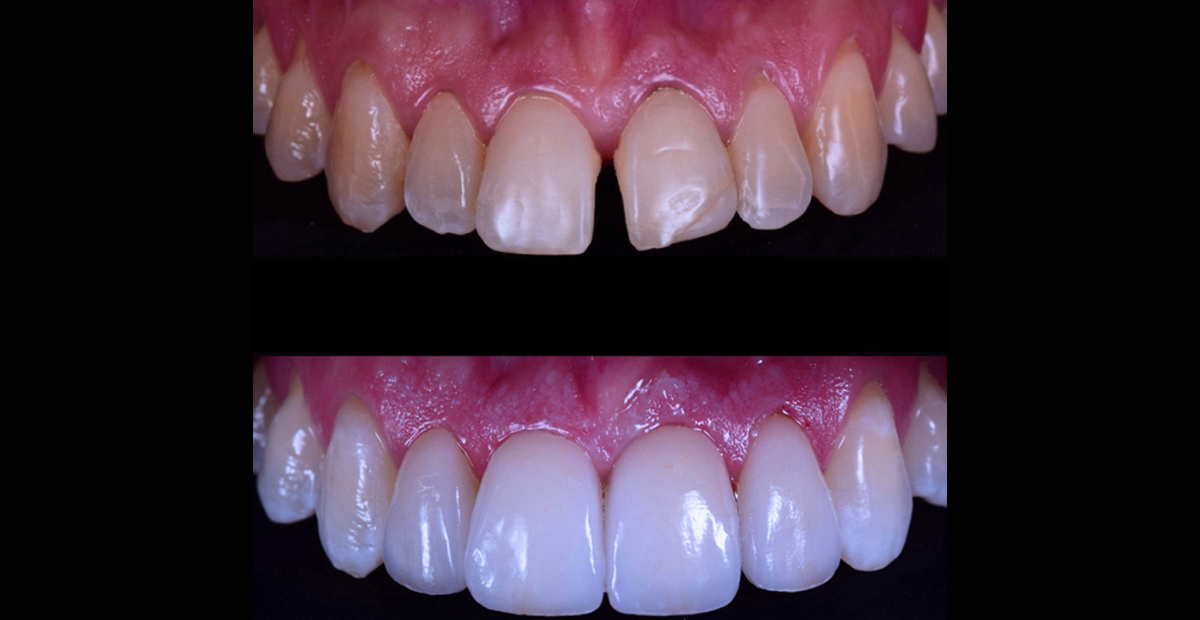
Atualmente a aplicação das lentes de contato dental se tornou uma das opções no que diz respeito a tratamentos restauradores dentários. Através de sua utilização, é possível retomar a funcionalidade, a naturalidade e devolver a estética do sorriso. O procedimento tornou-se conhecido principalmente pelos relatos de pessoas famosas e influenciadores digitais em seus perfis de redes sociais, onde comentam sobre as vantagens e, também, possíveis ajustes e correções que são necessários a depender do caso.
De acordo com a Associação Brasileira de Odontologia (SBO), para colocação das lentes dentais é preciso realizar um acompanhamento prévio que inclui planejamento, preparo adequado dos dentes, confecção das lentes, definição de cor e formato, etc. Essa aplicação também se diferencia de outros tratamentos odontológicos devido a intervenção menos invasiva, fazendo com que a integridade dos dentes naturais seja preservada.
Segundo Rodrigo Cotta, dentista e CEO da clínica de odontologia Ortocenter, o resultado dessa técnica resulta em uma abordagem que conserva mais a dentição e é menos dolorosa. “A lente de contato dental corrige imperfeições dentárias e eleva a autoestima dos pacientes, além de ser uma aplicação mais facilitada. Na Ortocenter, é um dos procedimentos mais procurados”, afirma o dentista.
O especialista destaca alguns dos principais resultados esperados pelos pacientes de acordo com a escolha do procedimento:
- Alta durabilidade: podem durar até 15 anos, quando mantidos os cuidados básicos de limpeza e higiene.
- Correção no desalinhamento dos dentes: a aplicação das lentes dentais pode corrigir pequenos desalinhamentos nos dentes. Em alguns casos, pode-se dispensar a utilização de aparelhos ortodônticos;
- Baixa manutenção: mantendo a higienização regular, as lentes dentais tendem a não alterar a cor e não se descolar antes do tempo.
Busca por publicidade do procedimento
Segundo Angélica Bandeira, gestora de tráfego pago e CEO da ABC, agência de marketing digital em BH, os dentistas de sua agência têm investido cada vez mais em publicidade para esse tipo de tratamento bucal. “Os dentistas de nossa agência estão optando por trabalhar mais o marketing digital neste segmento de lentes dentais no intuito de captar os que procuram pelo tratamento e também despertar o interesse de quem ainda não conhece”, afirma a especialista.
Para saber mais, basta acessar: https://ortocenter.net.br/















